Стентирование почечной артерии в КардиоКлинике
В КардиоКлинике успешно стентируют не только коронарные и брахиоцефальные артерии, но также сосуды нижних конечностей и почечные артерии. Это современные эндоваскулярные операции, целью которой является восстановление нормального кровотока в суженных артериях с помощью стентов.
Последние годы стентирование почечной артерии применяется несколько реже, однако сохраняются два основных показания к операции: неконтролируемые подъемы артериального давления (так называемая реноваскулярная гипертензия) и тяжелая почечная недостаточность в сочетании со стенозом почечной артерии.
Стентирование почечной артерии проводится по стандартной методике - через небольшой прокол в бедренной или лучевой артерии. Процедура не требует наркоза или глубокой седации. Продолжительность пребывания пациента в стационаре составляет 1-2 дня.
1. Начало операции

2. Имплантация стента

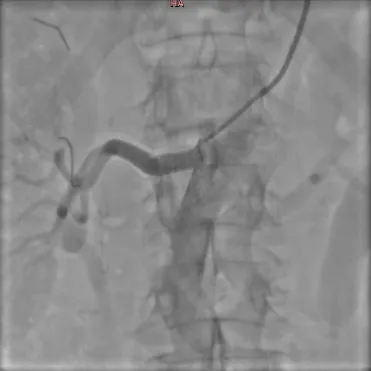
3. Контрольная ангиография

После операции пациенту необходимо принимать лекарственную терапию, назначенную врачом, в течение определенного времени. Своевременное стентирование стенозов почечных артерий позволяет сохранить полноценную функцию почечной паренхимы, а также уменьшить количество принимаемых гипотензивных препаратов.
